周末游戏网2026-01-11
1月10日消息,“西安国际医学”最新分享了一则案例,可以说是医生从死神手里硬生生抢回了一条人命。
据介绍,去年3月,工地上的焊接架毫无征兆地断裂时,41岁的张先生(化名)从13米(相当于四层楼)的高度直直坠下并重重摔到地上。
他被送到西安国际医学中心医院急诊时已经处于休克状态,初步诊断结果令人心惊:
创伤性失血性休克、多发性肋骨骨折、肺部损伤、右侧肩胛骨粉碎骨折、右侧肱骨髁上开放粉碎性骨折、右股骨粗隆及股骨干粉碎性骨折、骨盆粉碎性骨折、腰椎横突多发骨折、腰骶柱神经损伤、臂丛神经损伤、胸腔积液、腹腔积液等。
经医生检查,张先生全身共有六处较大骨折部位,多为严重粉碎性骨折,全身骨折碎块达30多块!

医生随即展开紧急抢救,总算是保住了他的性命,后续转入创伤骨科继续治疗,此时最大的挑战出现了。
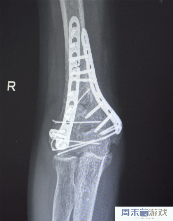
鉴于男子多处骨折,其中最严重的当属右肘部C3型粉碎性骨折,关节面及髁上严重粉碎(碎成了七块),肘关节易粘连,复位固定难度极高。
最终医疗团队采用了“拼古董”式复位固定技术,就像修复一件珍贵的古董瓷器,先拼接大块骨块再贴合小块,先后进行了两次手术。
如今张先生已能独立行走,康复程度达85%,后续有望恢复至95%,以后的工作生活应该不受影响。




相关推荐
消费者买到xiaonnri电视哭笑不得 小米客服回应
周末游戏网2026-01-12
官方通报一男一女滞留斑马线跳舞:4人为拍摄视频被行政处罚
周末游戏网2026-01-12
神秘账号93%胜率登顶《英雄联盟》韩服引热议:马斯克AI出手了?
周末游戏网2026-01-12
大表姐詹妮弗·劳伦斯送走7年爱犬 因为儿子被咬伤
周末游戏网2026-01-12
《GTA6》真能实现沙滩全是人吗?玩家怀疑“预告骗”
周末游戏网2026-01-12